70 лет Октября, 7
Химиков, 12Б
Нефтезаводская, 8
Масленникова, 39
+ 7 (3812) 20-73-12

Выполненные работы

Всего представлено работ: 255
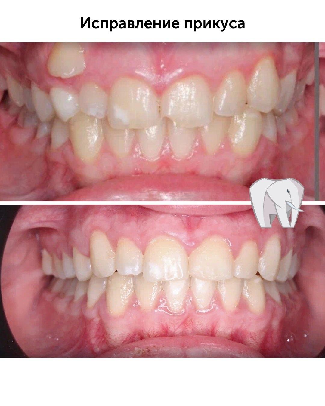
Исправление прикуса
  • Описание
    Исправление прикуса с помощью безлигатурной системы. Результат после 1,5 лет лечения: правильное смыкание и красивая улыбка.
  • Ортодонт
    Безганс Екатерина Рустамовна
Протезирование зубов
  • Описание
    Коррекция зоны улыбки с помощью безметалловых реставраций за 3 визита к стоматологу-ортопеду.
  • Ортопед
    Безганс Герман Владимирович
Исправление прикуса на брекетах
  • Описание
    Результат изменений за 1,5 года на безлигатурных брекетах.
  • Ортодонт
    Гафнер Вероника Олеговна
Коррекция прикуса
  • Описание
    Нашли место для клыка, поставили на место, скорректировали прикус. Лечение было выполнено на безлигатурной системе.
  • Ортодонт
    Гафнер Вероника Олеговна
Профгигиена+фторирование
  • Описание
    Демонстрация эффективности профессиональной гигиены и использования монопучковой щетки для удаления придесневого налета и профилактики заболеваний десен. Верхнее фото показывает налет, нижнее — результат чистки.
Исправление прикуса
  • Описание
    На фото — результат ортодонтического лечения, где были устранены скученность зубов, исправлен их наклон и настроено правильное смыкание, что предотвращает преждевременную стираемость.
Исправление прикуса
  • Описание
    Ортодонтическое лечение ретинированного зуба с использованием брекет-системы и временного протеза для исправления прикуса и выведения зуба в зубной ряд.
Восстановление зубов циркониевыми коронками
  • Описание
    Имплантация и протезирование на имплантах циркониевыми коронками
  • Хирург
    Сержанский Александр Леонидович
  • Ортопед
    Мустафин Руслан Ринадович
Установка двух имплантатов Straumann без костной пластики
  • Описание
    У пациента был диагностирован дефицит костной ткани. Хирург-имплантолог Хоботов Илья Дмитриевич за один визит установил два имплантата Straumann без проведения костной пластики. Контрольная рентгенография подтвердила стабильную остеоинтеграцию, позволив пациенту быстрее перейти к протезированию.
  • Имплантолог
    Хоботов Илья Дмитриевич
Профессиональная гигиена и фторирование
  • Описание
    На фото показан индикатор налёта (розовый цвет), который наносится перед процедурой для точного определения "слабых мест". После профессиональной гигиены и фторирования достигается результат гладкой эмали, ощущения свежести и защиты зубов.
  • Гигиенист
    Воронцов Алексей Васильевич
  • Гигиенист
    Горбачева Анастасия Михайловна
  • Гигиенист
    Аюпов Асет Берикович
Исправление прикуса
  • Описание
    1 год и 9 месяцев ортодонтического лечения на безлигатурных брекетах.
  • Ортодонт
    Безганс Екатерина Рустамовна
Исправление прикуса безлигатурными брекетами
  • Описание
    Кейс по исправлению прикуса с использованием безлигатурных брекетов. На фото показан результат до и после лечения, демонстрирующий выравнивание зубов и формирование правильного прикуса. Безлигатурные брекеты обеспечивают удобство в уходе и сокращают частоту визитов к ортодонту.
Профгигиена и фторирование
  • Описание
    На фото показан результат профессиональной гигиены полости рта. Перед процедурой был нанесен индикатор налета для выявления проблемных зон, после чего проведена чистка и фторирование.
Восстановление зубов с помощью имплантации и протезирования
  • Описание
    Пациентке проведена имплантация и последующее протезирование для восстановления эстетики и функции зубного ряда.
  • Хирург
    Сержанский Александр Леонидович
  • Ортопед
    Мустафин Руслан Ринадович
Комплексное протезирование зубов
  • Описание
    Пациент обратился с проблемой разрушенных и отсутствующих зубов. Было выполнено протезирование с использованием имплантов и циркониевых коронок, что позволило полностью восстановить эстетику и функцию улыбки.
  • Ортопед
    Мустафин Руслан Ринадович
Исправление прикуса
  • Описание
    Промежуточные результаты ортодонтического лечения за год с небольшим на безлигатурной системе. Скоро снятие.
Восстановление зубного ряда на имплантах
  • Описание
    Протезирование несъемным протезом, фиксированным на имплантах. Большая работа команды специалистов.
Комплексное протезирование фронтального отдела
  • Описание
    Комплексное лечение фронтального отдела, включающее пародонтологическую чистку, удаление зубов с одномоментной установкой имплантатов, изготовление временных коронок и протезирование. Результат - естественный вид конструкции и долгосрочная служба.
  • Имплантолог
    Хоботов Илья Дмитриевич
  • Ортопед
    Силюк Екатерина Андреевна
Профессиональная гигиена и фторирование
  • Описание
    Комплексная профессиональная гигиена полости рта, включающая индикацию налета, ультразвуковую чистку, Air Flow, полировку и фторирование, для удаления зубного камня и налета, восстановления естественной белизны и защиты от кариеса.
Исправление прикуса и восстановление зуба
  • Описание
    Комплексное лечение, включающее ортодонтическое исправление прикуса брекетами и последующую установку имплантата с коронкой на место отсутствующего зуба.
Протезирование зубов
  • Описание
    Установили имплант Osstem, зафиксировали циркониевую коронку. Стоимость имплантов: от 22000₽. Циркониевая коронка: 28500₽.
  • Имплантолог
    Идрисов Данис Ахатович
  • Ортопед
    Силюк Екатерина Андреевна
Установка керамических виниров
  • Описание
    Пациенту были установлены керамические виниры для создания идеальной улыбки. Использован цифровой протокол для 3D-визуализации результата.
Протезирование зубов
  • Описание
    Комплексное лечение, включающее удаление зубов, установку имплантов и протезирование циркониевыми коронками для восстановления уверенной улыбки.
  • Терапевт
    Соболев Артур Дмитриевич
  • Хирург
    Садовых Иван Алексеевич
  • Имплантолог
    Идрисов Данис Ахатович
Протезирование безметалловой керамикой
  • Описание
    Восстановление эстетики и здоровья улыбки с помощью безметалловых коронок. На фото представлен результат до и после лечения: ровные, белые и естественные зубы.
Исправление глубокого прикуса
  • Описание
    Глубокий травмирующий прикус и незначительная скученность были исправлены с помощью ортодонтического лечения, достигнуто правильное смыкание челюстей.
Протезирование зубов
  • Описание
    Восстановление улыбки с помощью современных технологий протезирования. Импланты надежно держат циркониевые коронки, возвращая пациенту возможность улыбаться без стеснения.
  • Ортопед
    Мустафин Руслан Ринадович
Исправление мезиального прикуса
  • Описание
    Исправление мезиального прикуса с помощью металлической лигатурной брекет-системы. Лечение заняло около 2.5 лет, первые результаты были заметны через полгода.
  • Ортодонт
    Безганс Екатерина Рустамовна
Протезирование зубов
  • Описание
    Пациенту установили 6 имплантов, на которых зафиксировали циркониевый протез. Теперь пациент может ни в чем себе не отказывать, ни в еде, ни в улыбках.
  • Имплантолог
    Хоботов Илья Дмитриевич
  • Ортопед
    Безганс Герман Владимирович
Исправление прикуса
  • Описание
    Использование эластофорсов на безлигатурных брекетах для коррекции глубокого прикуса. Результат через 10 месяцев.
  • Ортодонт
    Гафнер Вероника Олеговна
Имплантация All on 6
  • Описание
    Имплантация "Все на 6" позволяет вернуть былую уверенность в своей улыбке и комфорт. На 6 имплантов фиксируется сначала временный протез, а после приживления - постоянный.
Исправление прикуса
  • Описание
    Комплексное исправление прикуса с отличным эстетическим результатом.
  • Ортодонт
    Безганс Екатерина Рустамовна
Протезирование «Всё на 6»
  • Описание
    Проблема отсутствия зубов была оперативно решена по методике «Всё на 6».
  • Ортопед
    Березнев Антон Васильевич
Ортодонтическое лечение
  • Описание
    Скученность резцов, нижняя дуга узкая. Клыки и премоляры смещены, смыкание неровное. Десна травмируется при жевании, чистить неудобно. Установили брекеты, раскрыли места и выровняли дуги. В конце поставили ретейнер, чтобы результат держался. Получили ровные ряды и стабильное смыкание, спокойную улыбку, аккуратную линию режущих краёв. Чистить стало проще, нагрузка на зубы распределяется равномерно.
  • Ортодонт
    Безганс Екатерина Рустамовна
Протезирование на имплантах
  • Описание
    Установка 3 имплантатов Osstem и циркониевых коронок.
  • Ортопед
    Мустафин Руслан Ринадович
  • Имплантолог
    Идрисов Данис Ахатович
Исправление прикуса
  • Описание
    Исправление прикуса за 1,5 года с помощью безлигатурных брекетов, несмотря на наличие имплантов.
Профессиональная гигиена
  • Описание
    На верхнем фото — зубной камень, налёт и воспалённые дёсны. На нижнем — чистые гладкие зубы и аккуратный край десны. Это результат профессиональной гигиены, которая позволяет снять твёрдые и мягкие отложения, убрать источник воспаления и неприятного запаха. После процедуры зубы становятся светлее, дыхание свежее, а риск кариеса и пародонтита значительно снижается.
Исправление прикуса керамическими брекетами
  • Описание
    До лечения между зубами были заметные щели. За год они практически ушли, улыбка становится гармоничной. Использована система керамических брекетов, которые работают так же эффективно, как металлические, но при этом выглядят аккуратно и почти незаметны.
Исправление прикуса
  • Описание
    Исправление прикуса — это долгий процесс, где успех зависит от совместной работы врача и пациента. Пациент ответственно выполнял рекомендации, а врач Екатерина Рустамовна вела лечение шаг за шагом. Благодаря этому удалось выровнять зубы, сформировать правильный прикус и подарить улыбке гармонию и уверенность. Ровные зубы — это не только красота. Это правильное распределение нагрузки, удобное жевание и профилактика проблем в будущем.
  • Ортодонт
    Безганс Екатерина Рустамовна
Профессиональная гигиена полости рта
  • Описание
    Комплексная профессиональная гигиена полости рта, включающая удаление зубного камня ультразвуком, пигментированного налета AirFlow, полировку и фторирование для укрепления эмали и защиты реставраций.
  • Гигиенист
    Воронцов Алексей Васильевич
  • Гигиенист
    Викторова Анжелика Павловна
  • Гигиенист
    Горбачева Анастасия Михайловна
Профессиональная гигиена
  • Описание
    Комплексная профессиональная гигиена полости рта, включающая диагностику с окрашиванием налета, ультразвуковую чистку, полировку AirFlow и финишную полировку с фторированием. Процедура направлена на удаление бактериального налета и зубного камня, а также на профилактику воспаления десен.
  • Гигиенист
    Воронцов Алексей Васильевич
  • Гигиенист
    Викторова Анжелика Павловна
Лечение кариеса в зоне улыбки
  • Описание
    Удаление пораженных тканей, сохранение эмали, подбор оттенка и реставрация зубов современным композитом для естественного вида, ровной формы и спокойной десны.
  • Терапевт
    Лопатина Елена Сергеевна
Профгигиена
  • Описание
    Кейс демонстрирует результат профессиональной гигиены полости рта у пациента с коронками. На верхнем снимке виден налет и пигментация вокруг коронок, а на нижнем – чистые зубы после процедуры, подчеркивая важность регулярной гигиены для поддержания здоровья десен и продления срока службы реставраций.
  • Гигиенист
    Воронцов Алексей Васильевич
  • Гигиенист
    Викторова Анжелика Павловна
Исправление прикуса и устранение скученности
  • Описание
    Пациентке было проведено ортодонтическое лечение брекет-системой Biomim для исправления прикуса и устранения скученности зубов. Лечение заняло чуть больше 1.5 лет, в результате чего зубы заняли правильное положение.
  • Ортодонт
    Безганс Екатерина Рустамовна
Ортодонтическое лечение на металлической системе Biomim
  • Описание
    Ортодонтическое лечение на лигатурной металлической системе Biomim, длившееся 1,5 года. Кейс демонстрирует важность сохранения места под постоянный зуб в детском возрасте.
  • Ортодонт
    Гафнер Вероника Олеговна
Гигиена и профилактика
Профессиональная гигиена и фторирование
  • Описание
    Пример профессиональной гигиены полости рта, демонстрирующий удаление зубного налета и фторирование зубов.
Имплантация зубов Протезирование зубов
Имплантация All on 6
  • Описание
    Имплантация "Все на 6" позволяет вернуть былую уверенность в своей улыбке и комфорт. На 6 имплантов фиксируется сначала временный протез, а после приживления - постоянный.
Протезирование зубов
Протезирование зубов
  • Описание
    Комплексное протезирование зубов с установкой высокоточных керамических коронок для восстановления эстетики, функциональности, устранения дефектов эмали, старых реставраций и коррекции прикуса.
  • Ортопед
    Архипов Андрей Евгеньевич
Брекеты
Исправление прикуса
  • Описание
    Коррекция скученности зубов, перекрытия передних зубов и открытого прикуса с помощью брекет-системы. Результат: ровный зубной ряд, физиологичное смыкание челюстей и гармоничная улыбка.
  • Ортодонт
    Безганс Екатерина Рустамовна
Протезирование зубов
Протезирование «Все на 6»
  • Описание
    Протезирование по методике «Всё на 6»
  • Ортопед
    Березнев Антон Васильевич
Имплантация зубов
Имплантация Straumann без костной пластики
  • Описание
    Пациент обратился с недостаточным объемом костной ткани. Благодаря тщательному планированию по данным КЛКТ, хирург-имплантолог Хоботов Илья Дмитриевич установил два имплантата Straumann без необходимости костной пластики. Контрольный снимок подтвердил успешную остеоинтеграцию.
  • Имплантолог
    Хоботов Илья Дмитриевич
Брекеты
Исправление прикуса
  • Описание
    Ортодонтическое лечение
  • Ортодонт
    Безганс Екатерина Рустамовна
Лечение десен
Лечение гингивита
  • Описание
    Лечение простого маргинального гингивита с помощью фотодинамической терапии Revixen. Проведено обучение гигиене, профессиональная чистка и два сеанса ФДТ. Через 14 дней воспаление и кровоточивость купированы.
  • Пародонтолог
    Пинчук Светлана Сергеевна
Брекеты
Исправление прикуса брекетами
  • Описание
    Кейс по исправлению неправильного прикуса с помощью брекетов. Описаны диагностика, этапы лечения (активная коррекция брекетами, ретенция) и результаты: улучшение гигиены, дикции, устранение головных болей, связанных с прикусом.
  • Ортодонт
    Сопрунова Анастасия Дмитриевна
Брекеты
Ортодонтическое лечение
  • Описание
    Ортодонтическое лечение почти завершено. Демонстрируем динамику: центр на месте, скученность ушла, смыкание правильное.
  • Ортодонт
    Сопрунова Анастасия Дмитриевна
Брекеты
Исправление прикуса за 6 месяцев
  • Описание
    На верхнем фото — старт лечения: видны промежутки между резцами и клыками, линию улыбки «рвут» диастемы и тремы. Нижнее фото — всего полгода спустя: щели закрыты, зубы уже выстроились в ровную дугу, прикус постепенно выходит в физиологическое положение.
  • Ортодонт
    Гафнер Вероника Олеговна
Детская стоматология
Исправление прикуса
  • Описание
    У маленького пациента был глубокий травмирующий прикус. За год лечения на съемных аппаратах удалось добиться отличных результатов.
  • Ортодонт
    Безганс Екатерина Рустамовна
Брекеты
Исправление прикуса
  • Описание
    Прогресс лечения брекетами за год.
Брекеты Имплантация зубов Протезирование зубов
Исправление прикуса
  • Описание
    Комплексное ортодонтическое лечение с последующей имплантацией и протезированием. Достигнута ровная улыбка и восстановлена жевательная функция.
  • Ортодонт
    Сопрунова Анастасия Дмитриевна
Лечение десен
Пародонтологическая чистка
  • Описание
    Комплексная профессиональная гигиена полости рта — надежный способ предотвратить заболевания десен. Если же воспалительный процесс уже запущен, необходима пародонтологическая чистка. Врач подбирает индивидуальный набор процедур, чтобы максимально быстро и эффективно устранить дискомфорт и остановить развитие патологии. В показанном случае работу выполнила Хоботова О. А.: зубной камень полностью удален, и уже на фото «после» заметна выраженная положительная динамика — ткань десны активно восстанавливается.
  • Пародонтолог
    Оксана Алексеевна Хоботова
Брекеты
Исправление прикуса
  • Описание
    Лечение на брекет-системе BIOMIM длилось 1,5 года.
  • Ортодонт
    Безганс Екатерина Рустамовна
Брекеты
Исправление глубокого прикуса и скученности
  • Описание
    ДО: Глубокий травмирующий прикус и небольшая скученностьПосле: красивая улыбка и правильный прикус.Лечение проводила Гафнер В.О.Как думаете, сколько времени пациент проходил в брекетах? Правильный ответ будет на этой неделе в нашем TG-канале beleislon, заходите, подписывайтесь.
  • Ортодонт
    Гафнер Вероника Олеговна
Лечение зубов
Лечение кариеса
  • Описание
    Лечение кариеса
  • Терапевт
    Бойко Даниил Александрович
Протезирование зубов
Протезирование передних зубов
  • Описание
    У пациента был депульпированный передний зуб, потемневший и заметно выделявшийся на фоне остальных, а так же резец, нуждающийся в реставрации. Благодаря слаженной работе зуботехнической лаборатории и качественным циркониевым коронкам удалось вернуть резцам естественный вид.
  • Ортопед
    Мустафин Руслан Ринадович
Брекеты Имплантация зубов Протезирование зубов
Исправление прикуса и восстановление зубов
  • Описание
    У пациента отсутствовали несколько зубов в жевательном отделе и был открытый прикус. Проведено комплексное лечение с участием ортодонта, имплантолога и ортопеда для достижения правильного прикуса и восстановления утраченных зубов.
  • Ортодонт
    Малофеев Александр Сергеевич
  • Имплантолог
    Аветисян Грачья Артакович
  • Ортопед
    Вашов Антон Олегович
Лечение десен
Профессиональная гигиена
  • Описание
    Пациент обратился с дискомфортом в десне, вызванным недостаточной гигиеной. Проведена профессиональная чистка полости рта.
  • Пародонтолог
    Пинчук Светлана Сергеевна
Гигиена и профилактика
Профгигиена
  • Описание
    Результат профессиональной гигиены полости рта. На верхнем фото показан налет, окрашенный индикатором, на нижнем - чистые зубы после процедуры.
Протезирование зубов
Протезирование
  • Описание
    Протезирование зубов. Работа команды специалистов сети "Жемчужный слон".
Брекеты
Исправление прикуса
  • Описание
    Закрытие диастемы с помощью брекетов за 1,5 года.
  • Ортодонт
    Безганс Екатерина Рустамовна
Протезирование зубов
Протезирование при полном отсутствии зубов
  • Описание
    Восстановление полного отсутствия зубов по системе "все на 6". На верхней челюсти установлен постоянный металлокерамический протез на титановой балке.
  • Ортопед
    Мустафин Руслан Ринадович
Брекеты
Исправление прикуса
  • Описание
    Динамике ортодонтического лечения у детей взрослым остается только позавидовать. За 3 месяца достигли отличных результатов в, казалось бы, непростом случае. А всего-то пациент 7 лет дисциплинированно носит миобрейс на ночь и 2 часа днем.
  • Ортодонт
    Безганс Екатерина Рустамовна
Брекеты
Исправление прикуса
  • Описание
    Лечение на лигатурных брекетах за 1 год у пациентки старшего школьного возраста. Результат для красивой улыбки к выпускному.
  • Ортодонт
    Безганс Екатерина Рустамовна
Брекеты
Исправление прикуса
  • Описание
    Результат исправления прикуса спустя 1 год лечения.
  • Ортодонт
    Сопрунова Анастасия Дмитриевна
Брекеты
Коррекция прикуса аппаратом Марка Росса
  • Описание
    Коррекция прикуса у ребенка 6-7 лет с помощью аппарата Марка Росса. Устранение скученности и глубокого прикуса. Показана положительная динамика через 2 месяца лечения.
  • Ортодонт
    Безганс Екатерина Рустамовна
Имплантация зубов Протезирование зубов
Протезирование зубов
  • Описание
    Пациенту установлены импланты в области отсутствующих жевательных зубов и коронки из диоксида циркония.
  • Ортопед
    Архипов Андрей Евгеньевич
Брекеты Эстетическая стоматология
Реставрация зубов в брекетах
  • Описание
    Лечение и реставрация зубов возможны даже при ношении брекетов. Процесс требует снятия дуги и, иногда, самого брекета перед приемом терапевта, а затем повторной фиксации ортодонтом.
  • Терапевт
    Соболев Артур Дмитриевич
Лечение зубов
Лечение кариеса
  • Описание
    Лечение 4 зубов за один прием
  • Терапевт
    Кучугура Ксения Александровна
Протезирование зубов Лечение зубов
Протезирование зубов
  • Описание
    В данном случае пациенту была проведена санация полости рта, затем установлены коронки на зону улыбки.
  • Терапевт
    Соболев Артур Дмитриевич
  • Ортопед
    Пиляева Ольга Сергеевна
Брекеты
Исправление прикуса
  • Описание
    Исправление прикуса за 2 года
  • Ортодонт
    Безганс Екатерина Рустамовна
Эстетическая стоматология
Реставрация зубов
  • Описание
    Пациент не готов к брекетам, выполнена реставрация зубов 12 и 22 для улучшения эстетики улыбки.
  • Терапевт
    Шляхтич Надежда Александровна
Протезирование зубов
Косметический протез
  • Описание
    Временное решение после потери зуба в зоне улыбки - косметический съемный протез. Он выполняет эстетическую функцию в период между удалением зуба и установкой постоянной коронки на имплант, позволяя уверенно улыбаться.
Брекеты
Исправление прикуса за 5 месяцев
  • Описание
    Вау-результат всего за 5 месяцев.
  • Ортодонт
    Бурлакова (Разумкова) Камилла Вадимовна
Лечение зубов
Лечение периодонтита
  • Описание
    Лечение периодонтита - воспаления вокруг корней зуба, вызванного инфекцией. В данном случае успешно пролечены каналы, инфекция побеждена, зуб спасен.
  • Терапевт
    Кучугура Ксения Александровна
Лечение зубов
Лечение периодонтита
  • Описание
    Лечение периодонтита с большой кистой и восстановлением костной ткани за 6 месяцев.
  • Терапевт
    Науменко Юлия Александровна
Брекеты
Исправление прикуса
  • Описание
    Исправление прикуса с помощью брекет-системы за 4 месяца.
  • Ортодонт
    Сопрунова Анастасия Дмитриевна
Имплантация зубов Протезирование зубов Гигиена и профилактика
Протезирование зубов
  • Описание
    Установлены импланты, выполнено протезирование циркониевыми коронками, проведена профгигиена.
  • Терапевт
    Небесный Вадим Васильевич
  • Ортопед
    Архипов Андрей Евгеньевич
Имплантация зубов Протезирование зубов
Протезирование зубов
  • Описание
    Установлены импланты OSSTEM и безметалловые коронки на каркасе оксида циркония.
  • Ортопед
    Архипов Андрей Евгеньевич
Лечение зубов
Лечение кариеса
  • Описание
    Лечение кариеса на двух зубах у пациента с брекетами и старой пломбой, выполненное в сжатые сроки перед отпуском.
  • Терапевт
    Кучугура Ксения Александровна
Гигиена и профилактика
Профессиональная гигиена при ношении брекетов
  • Описание
    Профессиональная гигиена полости рта для пациента в брекетах. Показано скопление налета вокруг брекетов и под дугой (окрашено сиреневым цветом). После чистки налет полностью удален, зубы в безопасности, брекеты работают эффективнее.
  • Терапевт
    Шляхтич Надежда Александровна
Гигиена и профилактика
Профгигиена+фторирование
  • Описание
    Профессиональная гигиена полости рта с фторированием. На фото до показан бактериальный налет, окрашенный фиолетовым.
Брекеты
Исправление прикуса
  • Описание
    Всего полгода посещения и уже основные проблемы прикуса скорректированы.
  • Ортодонт
    Бурлакова (Разумкова) Камилла Вадимовна
Протезирование зубов
Протезирование
  • Описание
    Преображение улыбки с помощью протезирования. Командная работа специалистов.
Брекеты
Лечение на брекетах
  • Описание
    Исправление прикуса и выравнивание зубов брекетами за 10 месяцев. Результат - красивая улыбка и правильное функционирование зубочелюстной системы.
  • Ортодонт
    Сопрунова Анастасия Дмитриевна
Имплантация зубов Протезирование зубов
Протезирование на имплантате
  • Описание
    Имплант Lenmiriot в сочетании с циркониевой коронкой - самый оптимальный вариант замены недееспособного зуба.
  • Ортопед
    Семелит Егор Юрьевич
Имплантация зубов Протезирование зубов
Протезирование на имплантах
  • Описание
    В область отсутствующих зубов поставили импланты, затем зафиксировали циркониевые коронки.
Гигиена и профилактика
Профгигиена + фторирование
  • Описание
    Камень с души не уберем, а вот с зубов - легко. Наверное, нет более полезной процедуры для зубов, чем чистка. Профгигиена уберет весь бактериальный налет, поможет десне восстановиться, а зубы защитит от кариеса.
  • Терапевт
    Кучугура Ксения Александровна
Лечение зубов
Реставрация зуба композитным материалом
  • Описание
    Восстановление сильно разрушенного зуба с использованием надежного композитного материала. Материал имитирует натуральную эмаль, прочный, устойчив к истиранию и легко полируется, обеспечивая долговечный и эстетичный результат.
  • Терапевт
    Асенова Амина Дулатовна
Гигиена и профилактика
Профгигиена зубов
  • Описание
    Комплексная профессиональная гигиена зубов, включающая ультразвук, Air Flow, чистку щетками и фторирование, для удаления налета и укрепления эмали.
Хирургическая стоматология
Пластика десны
  • Описание
    Пластика десны при имплантации необходима для восстановления естественной формы и объема мягких тканей вокруг имплантата. Это улучшает эстетику улыбки, предотвращает рецессию десны и помогает создать естественный переход между имплантатом и окружающими зубами, обеспечивая долговечность и стабильность имплантата. В данном случае операцию выполнил Грачья Артакович
  • Имплантолог
    Аветисян Грачья Артакович
Имплантация зубов Протезирование зубов
Протезирование зубов
  • Описание
    Имплантация по шаблону с имплантами OSSTEM и последующее протезирование безметалловыми коронками для восстановления эстетики и функции.
Протезирование зубов
Протезирование зубов
  • Описание
    Коррекция формы и цвета зубов безметалловой керамикой (6 единиц).
Лечение зубов
Лечение кариеса
  • Описание
    Лечение кариеса, образовавшегося под виниром, без его снятия.
Протезирование зубов
Безметалловые коронки на передние зубы
  • Описание
    Установка безметалловых коронок на передние зубы для коррекции формы и цвета.
  • Ортопед
    Безганс Герман Владимирович
Брекеты
Исправление прикуса
  • Описание
    Чуть меньше, чем 1,5 года ушло на ортодонтическое лечение на лигатурной брекет-системе.
  • Ортодонт
    Даньярова Диана Саматовна
Брекеты
Исправление прикуса
  • Описание
    Закрыли промежутки и исправили прикус. Всего за 1 год.
  • Ортодонт
    Безганс Екатерина Рустамовна
Имплантация зубов Протезирование зубов
Протезирование зубов
  • Описание
    На место отсутствующего зуба установили имплант, на зону улыбки зафиксировали безметалловые коронки. Проведена профгигиена. На время после удаления зуба до установки коронки на имплантат использовался косметический протез.
  • Имплантолог
    Непомнящих Наталия Юрьевна
Протезирование зубов
Протезирование зубов
  • Описание
    Результат комплексного лечения: протезирование зубов после ортодонтического этапа. На фото показан финальный этап - установка постоянных коронок.
  • Ортопед
    Семелит Егор Юрьевич
Брекеты Имплантация зубов Протезирование зубов
Протезирование зубов
  • Описание
    Комплексная работа команды специалистов: санация, ортодонтическое лечение, имплантация с синус-лифтингом и протезирование безметалловыми коронками.
Имплантация зубов Протезирование зубов
Протезирование зубов
  • Описание
    Если потеряны все зубы, это еще не значит, что все потеряно. В данном случае установили 4 импланта на верхнюю челюсть и 4 - на нижнюю. Зафиксировали временный протез. Затем уже постоянная конструкция.
Протезирование зубов
Протезирование зубов
  • Описание
    Протезирование безметалловыми коронками и винирами для устранения флюороза и скола на верхних зубах.
  • Ортопед
    Мустафин Руслан Ринадович
Имплантация зубов Протезирование зубов
Протезирование на имплантах
  • Описание
    Установка 6 имплантов и несъемного протеза на титановой балке
  • Ортопед
    Мустафин Руслан Ринадович
Имплантация зубов Протезирование зубов
Протезирование зубов на имплантах
  • Описание
    Установлено 6 имплантов на верхнюю челюсть и 6 на нижнюю, выполнено протезирование циркониевым протезом.
  • Ортопед
    Семелит Егор Юрьевич
Лечение зубов
Лечение кариеса
  • Описание
    Лечение кариеса зубов мудрости.
  • Терапевт
    Асенова Амина Дулатовна
Протезирование зубов
Протезирование зубов
  • Описание
    Пациент обратился с жалобами на частичное отсутствие зубов на верхней и нижней челюсти. Проведена санация полости рта, установлены 7 металлокерамических коронок и съемные протезы (бюгельный на нижнюю челюсть, частичный пластиночный на верхнюю). Стоимость протезирования составила около 140 000 рублей.
  • Терапевт
    Науменко Юлия Александровна
Имплантация зубов Протезирование зубов
Протезирование на имплантатах
  • Описание
    4 имплантата и постоянный несъемный металлокерамический протез на титановой балке позволили пациентке полноценно заменить отсутствующие зубы на верхней челюсти.
Лечение зубов
Лечение кариеса
  • Описание
    Восстановление разрушенного зуба надежным композитным материалом. Материал имитирует натуральную эмаль, прочный, устойчив к истиранию и обеспечивает долговечный результат. Реставрация эстетична, функциональна и защищает зуб от дальнейшего разрушения.
  • Терапевт
    Асенова Амина Дулатовна
Брекеты
Исправление прикуса
  • Описание
    Коррекция дистального прикуса и скученности без удаления премоляров. Достигнуто правильное смыкание зубов и красивая улыбка.
  • Ортодонт
    Безганс Екатерина Рустамовна
Имплантация зубов Протезирование зубов
Протезирование зубов
  • Описание
    Работа команды специалистов филиала на Масленникова, 45. Сначала чистка, затем пролечили все, что требовалось, затем имплантация и в финале - фиксация циркониевых коронок
Гигиена и профилактика
Профессиональная гигиена и фторирование
  • Описание
    Комплексная профессиональная гигиена - обязательная процедура для сохранения здоровья зубов. Позволяет предотвратить развитие кариеса и заболеваний десен, убирает весь налет, включая камень. Результат - гладкие, белоснежные зубы и свежее дыхание.
  • Терапевт
    Кучугура Ксения Александровна
Имплантация зубов Протезирование зубов
Протезирование зубов
  • Описание
    Очередная большая работа команды специалистов филиала на Химиков, 12Б. Сделали КТ и приступили к работе. Протез несъемный, фиксируется на имплантах.
Протезирование зубов
Протезирование зубов
  • Описание
    Работа стоматолога-ортопеда Германа Владимировича — безметалловые реставрации на нижнюю челюсть. Особое мастерство требуется при подборе идентичного оттенка, чтобы нижние коронки естественно дополнили существующие верхние реставрации.
  • Ортопед
    Безганс Герман Владимирович
Брекеты
Исправление прикуса
  • Описание
    Всего 1 год и 3 месяца и какой ВАУ-результат. С пациентом работала Безганс Екатерина Рустамовна - ведущий ортодонт сети "Жемчужный слон".
  • Ортодонт
    Безганс Екатерина Рустамовна
Гигиена и профилактика
Профгигиена зубов
  • Описание
    Показательный случай важности регулярной профгигиены, особенно при наличии коронок и виниров. Фото 'до' показывает результат пропуска одной процедуры. Профгигиена включает удаление налета и камня, после чего возможно небольшое кровотечение десны, которое быстро проходит.
Имплантация зубов Протезирование зубов
Протезирование зубов
  • Описание
    Комплексное лечение, имплантация и протезирование зубов коронками из диоксида циркония.
  • Имплантолог
    Идрисов Данис Ахатович
  • Ортопед
    Мустафин Руслан Ринадович
Лечение десен
Пародонтологическая чистка
  • Описание
    Выполнен специальный комплекс при пародонтите.
  • Терапевт
    Асенова Амина Дулатовна
Лечение зубов
Лечение кариеса
  • Описание
    Лечение кариеса с использованием коффердама. Фото до и после.
  • Терапевт
    Бойко Даниил Александрович
Лечение зубов
Лечение периодонтита
  • Описание
    Ранее леченный зуб начал беспокоить из-за инфекции в корневых каналах, что привело к периодонтиту и формированию кисты. После лечения киста исчезла, идет восстановление костной ткани. Зуб сохранен.
  • Терапевт
    Кучугура Ксения Александровна
Имплантация зубов Протезирование зубов
Имплантация All on 6
  • Описание
    Восстановление полного зубного ряда по методу All-on-6. Установка шести имплантов для надежной фиксации несъемного протеза.
Гигиена и профилактика
Профгигиена зубов
  • Описание
    Единственная процедура, которая позволяет убрать зубной камень, это профгигиена. А чтобы зубного камня не было, гигиениста необходимо посещать раз в полгода, а так же чистить зубы минимум дважды в день, пользоваться монопучковой щеткой и ирригатором.
  • Терапевт
    Кучугура Ксения Александровна
Лечение зубов
Лечение зубов
  • Описание
    Лечение кариеса
  • Терапевт
    Соболев Артур Дмитриевич
Лечение десен Гигиена и профилактика
Профессиональная гигиена
  • Описание
    Профессиональная чистка зубов для удаления зубного камня и налета, предотвращения заболеваний десен.
  • Пародонтолог
    Пинчук Светлана Сергеевна
Гигиена и профилактика
Профгигиена зубов
  • Описание
    Результат комплексной чистки зубов: удаление налета и камня, здоровые и сияющие зубы.
Брекеты
Исправление открытого прикуса
  • Описание
    При открытом прикусе передние зубы верхней и нижней челюсти не смыкаются при закрытом рте, образуя характерную щель между ними. Это нарушение может вызывать проблемы с пережёвыванием пищи, произношением некоторых звуков и эстетическим видом улыбки.В данном случае с момента установки прошло меньше 5 месяцев. Результат  отличный, такими темпами лечение не затянется. Пациенту установлена система Biomim. Лечение проводит Камилла Вадимовна.
  • Ортодонт
    Бурлакова (Разумкова) Камилла Вадимовна
Лечение зубов
Лечение зубов
  • Описание
    Лечение кариеса, который протекал бессимптомно.
  • Терапевт
    Шляхтич Надежда Александровна
Гигиена и профилактика
Профгигиена + фторирование
  • Описание
    На фото "до" фиолетовым выделен бактериальный налет. Чем темнее окрашивание, тем дольше налет присутствует на зубах. Интересно, что пациент чистит зубы дважды в день, как и рекомендуется. Однако он не использует монопучковую щетку и ирригатор. Пациенту кажется, что зубы чистые, визуально это действительно так, но специальный индикатор раскрыл истину. Во время процедуры весь налет был тщательно удален, в результате — зубы не только чистые и блестящие, но и надежно защищены от кариеса.
Протезирование зубов
Протезирование зубов
  • Описание
    3 визита к стоматологу-ортопеду, скорректировали зону улыбки с помощью безметалловых реставраций.
  • Ортопед
    Безганс Герман Владимирович
Протезирование зубов
Протезирование зубов
  • Описание
    Зафиксировали 2 коронки.
  • Ортопед
    Архипов Андрей Евгеньевич
Брекеты
Исправление прикуса
  • Описание
    Лечение на брекет-системе, длительность 1 год 7 месяцев.
Лечение зубов
Лечение кариеса
  • Описание
    Восстановление зубов с некорректными пломбами и кариесом, с точным восстановлением анатомии и контактных пунктов.
  • Терапевт
    Шляхтич Надежда Александровна
Гигиена и профилактика
Профгигиена + фторирование
  • Описание
    Использование индикатора налета для выявления проблемных зон перед профессиональной гигиеной. Индикатор окрасил участки с налетом в темный цвет, показывая необходимость тщательной чистки. После процедуры десна может кровоточить из-за давления зубного камня, но это быстро проходит при поддержании домашней гигиены.
Имплантация зубов Протезирование зубов
Протезирование на имплантах
  • Описание
    Протезирование на имплантах — это эффективное и долговечное решение для восстановления утраченного зуба. Имплант вживляется в костную ткань, заменяя корень зуба, а сверху фиксируется эстетичная коронка, полностью имитирующая естественный зуб. Такой подход обеспечивает комфорт, функциональность и красивую улыбку.
  • Имплантолог
    Хоботов Илья Дмитриевич
  • Ортопед
    Силюк Екатерина Андреевна
Имплантация зубов Протезирование зубов
Протезирование зубов
  • Описание
    Комплексное протезирование при выраженной потере зубов с использованием имплантации по хирургическому шаблону и цифровых технологий.
  • Имплантолог
    Непомнящих Наталия Юрьевна
  • Ортопед
    Мустафин Руслан Ринадович
Брекеты
Исправление прикуса
  • Описание
    Коррекция выраженного нарушения смыкания и скученности зубов на брекет-системе, позволившая избежать хирургического вмешательства.
  • Ортодонт
    Даньярова Диана Саматовна
Брекеты Имплантация зубов
Исправление прикуса и восстановление зубов
  • Описание
    Пациент обратился с выраженной скученностью зубов и отсутствием жевательных. Проведено ортодонтическое лечение для устранения скученности и исправления прикуса, а также подготовка места для имплантации. После снятия брекетов установлены импланты и зафиксированы коронки. Результат – ровная улыбка и полноценная жевательная функция.
  • Ортодонт
    Сопрунова Анастасия Дмитриевна
Гигиена и профилактика
Профгигиена зубов
  • Описание
    Фото до и после профессиональной гигиены полости рта. Процедура помогает удалить налет, особенно в труднодоступных местах у линии десен, предотвращая воспаления и кариес.
Протезирование зубов
Протезирование зубов
  • Описание
    Пациент обратился со скученностью зубов и неровной линией улыбки. Эстетика скорректирована с помощью безметалловой керамики.
  • Ортопед
    Архипов Андрей Евгеньевич
Детская стоматология Гигиена и профилактика
Профессиональная гигиена детям
  • Описание
    Результат профессиональной гигиены у ребенка
  • Детский стоматолог
    Юлдашева Нилуфар Юсуфовна
Гигиена и профилактика
Профгигиена+фторирование
  • Описание
    Даже при кажущемся идеальном состоянии зубов, индикатор налета показывает необходимость проведения профессиональной гигиены, так как на зубах присутствует налет, который невозможно удалить самостоятельно.
Брекеты
Исправление прикуса
  • Стоматолог-ортодонт
    Даньярова Диана Саматовна
Брекеты
Исправление прикуса 5 месяцев
  • Стоматолог-ортодонт
    Гафнер Вероника Олеговна
Брекеты
Исправление прикуса
  • Стоматолог-ортодонт
    Гафнер Вероника Олеговна
Брекеты
Исправление прикуса 1 год 3 месяца
  • Стоматолог-ортодонт
    Гафнер Вероника Олеговна
Брекеты
Исправление прикуса
  • Стоматолог-ортодонт
    Гафнер Вероника Олеговна
Брекеты Протезирование зубов
Исправление прикуса, протезирование
  • Стоматолог-ортодонт
    Гафнер Вероника Олеговна
  • Стоматолог-ортопед
    Силюк Екатерина Андреевна
Брекеты
Ортодонтическое лечение 1 год
  • Стоматолог-ортодонт
    Гафнер Вероника Олеговна
Брекеты
Лечение мезиального прикуса 1,5 года
  • Стоматолог-ортодонт
    Гафнер Вероника Олеговна
Брекеты
Ортодонтическое лечение 1,5 года
  • Стоматолог-ортодонт
    Гафнер Вероника Олеговна
Лечение зубов
Лечение кариеса
  • Врач:
    Валко Алена Олеговна
Эстетическая стоматология
Реставрация зубов
  • Врач:
    Валко Алена Олеговна
Лечение зубов
Лечение кариеса
  • Врач:
    Валко Алена Олеговна
Гигиена и профилактика
Чистка зубов
  • Врач:
    Валко Алена Олеговна
Эстетическая стоматология
Реставрация зубов
  • Врач:
    Валко Алена Олеговна
Протезирование зубов
Протезирование зубов
  • Стоматолог-ортопед:
    Архипов Андрей Евгеньевич
Брекеты
Исправление прикуса
  • Стоматолог-ортодонт
    Даньярова Диана Саматовна
Брекеты
Исправление прикуса
  • Стоматолог-ортодонт
    Даньярова Диана Саматовна
Брекеты
Исправление прикуса
  • Стоматолог-ортодонт
    Даньярова Диана Саматовна
Брекеты
Исправление прикуса
  • Стоматолог-ортодонт
    Даньярова Диана Саматовна
Брекеты
Ортодонтическое лечение 5 месяцев
  • Стоматолог-ортодонт
    Малофеев Александр Сергеевич
Брекеты
Исправление прикуса
  • Стоматолог-ортодонт
    Безганс Екатерина Рустамовна
Брекеты
Исправление прикуса
  • Стоматолог-ортодонт
    Безганс Екатерина Рустамовна
Брекеты
Исправление прикуса
  • Стоматолог-ортодонт
    Гафнер Вероника Олеговна
Брекеты Протезирование зубов
Исправление прикуса и протезирование
  • Стоматолог-ортодонт
    Гафнер Вероника Олеговна
  • Стоматолог-ортопед
    Силюк Екатерина Андреевна
Имплантация зубов Протезирование зубов
Протезирование на имплантах
  • Стоматолог-имплантолог
    Идрисов Данис Ахатович
  • Стоматолог-ортопед
    Пиляева Ольга Сергеевна
Брекеты
Эффективное лечение на брекетах без минивинтов и удалений (1,5 года)
  • Стоматолог-ортодонт
    Гафнер Вероника Олеговна
Брекеты
Трансформация прикуса брекетами (1,5 года)
  • Стоматолог-ортодонт
    Гафнер Вероника Олеговна
Брекеты
8 месяцев лечения на брекетах
  • Стоматолог-ортодонт
    Гафнер Вероника Олеговна
Брекеты
Преображение улыбки с использованием минивинтов (2 года)
  • Стоматолог-ортодонт
    Гафнер Вероника Олеговна
Элайнеры
Трансформация закрытого прикуса элайнерами
Элайнеры
Коррекция закрытого прикуса элайнерами
Элайнеры
Исправление открытого прикуса и ротации элайнерами
Элайнеры
Коррекция диастемы на верхней челюсти элайнерами
Гигиена и профилактика
Профгигиена и фторирование
  • Выполненные работы:
    Видите разницу между "до" и "после" на первой картинке? С индикатором эту разницу увидеть намного проще, ведь он окрашивает налет в сиреневый цвет. Чем ярче оттенок, тем дольше на зубах лежит налет в данном месте. Соответсвенно бледно-розовый оттенок свидетельствует о том, что налет в данном месте образовался не так давно.
  • Стоматолог-терапевт:
    Пинчук Светлана Сергеевна
Имплантация зубов Протезирование зубов
Импланты OSSTEM и 20 циркониевых коронок
  • Стоматолог-ортопед:
    Архипов Андрей Евгеньевич
  • Стоматолог-хирург:
    Бобер Александр Александрович
  • Выполненные работы:
    До: несостоятельные ортопедические конструкции, стачиваемость, неоднородность цвета, отсутствие зубов в жевательном отделе. После: Импланты OSSTEM на месте отсутствующих зубов (установил Александр Александрович Бобер), 20 циркониевых коронок оттенка Блич2.
Гигиена и профилактика
Профгигиена и фторирование
  • Стоматолог-гигиенист:
    Кудашова Валерия Олеговна
  • Выполненные работы:
    Убран зубной камень и пигментированный налет. Эмаль стала чуть светлее. А процедура фторирования позволит защитить зубы от развития кариеса.
Гигиена и профилактика
Профессиональная гигиена
  • Что было:
    Виной таких отложений стали не только недостаток гигиены, но и пристрастие к сигаретам и кофе.
Гигиена и профилактика
Удаление зубного камня
  • Стоматолог-пародонтолог:
    Науменко Юлия Александровна
  • Выполненные работы:
    В данном случае ранее было проведено шинирование, и теперь раз в полгода пациент приходит на осмотр в пародонтологу и на профгигиену.
Гигиена и профилактика
Профгигиена
Гигиена и профилактика
Удаление зубного камня
  • Стоматолог-пародонтолог:
    Науменко Юлия Александровна
  • Что было:
    Причина оголения корней на фото "после" - зубной камень, который в больших количествах скопился над и под десной. Удалить самостоятельно минерализированные отложения невозможно.
Гигиена и профилактика
Профгигиена и фторирование
  • Выполненные работы:
    Пациенту выполнена профгигиена с применением ультразвуковой чистки, AirFlow, пасты Detatrine. И затем проведено фторирование для укрепления эмали.
Гигиена и профилактика
Комплексная профгигиена
  • Стоматолог-терапевт:
    Пинчук Светлана Сергеевна
  • Выполненные работы:
    Проведена ультразвуковая чистка, чистка AirFlow, чистка щетками и пастой и фторирование. Внимание на десну. Обратите внимание, как десна травмирована под действием налета. Сейчас все позади, десна спокойная.
Гигиена и профилактика
Комплексная профгигиена и фторирование
  • Что было:
    Из-за неправильной домашней гигиены на зубах в пришеечной области образовывался зубной камень.
  • Выполненные работы:
    В ходе процедуры убран зубной камень, пигментированный налет.
Гигиена и профилактика
Профессиональная гигиена
  • Стоматолог-терапевт:
    Копотова Дарья Георгиевна
Детская стоматология
Профгигиена от пигментированного налета
  • Стоматолог-терапевт:
    Суркова Вероника Олеговна
  • Выполненные работы:
    Пациенту 4 года. До — пигментированный налет, который самостоятельно невозможно убрать. После — красивые, здоровые зубки.
Детская стоматология
Налет Пристли
  • Стоматолог-терапевт:
    Лощинская Яна Владимировна
  • Выполненные работы:
    Детские стоматологи клиники «Жемчужный слон» проведут ребёнку не просто профгигиену, но и выявят причину, составят индивидуальные рекомендации, чтобы такой налёт больше никогда не появлялся.
Лечение зубов
Лечение кариеса на контакте зубов
  • Стоматолог-терапевт:
    Лощинская Яна Владимировна
  • Выполненные работы:
    Здесь кариес на контакте между двух резцов образовался в результате недостатка гигиены.
Детская стоматология
Лечение среднего кариеса
  • Стоматолог-терапевт:
    Лощинская Яна Владимировна
  • Выполненные работы:
    Мальчик 5 лет. Можно подумать, что полость небольшая и поверхностная. После препарирования средняя и даже глубокая. Вовремя успели, до пульпита не дошло.
Протезирование зубов Эстетическая стоматология
6 керамических виниров на верхней челюсти
  • Стоматолог-ортопед:
    Кулакова Екатерина Андреевна
  • Выполненные работы:
    6 тончайших керамических виниров на верхней челюсти позволили вопротить мечту пациентки о белоснежной улыбке.
Брекеты Протезирование зубов Хирургическая стоматология
Исправление прикуса, пластика десны и виниры
  • Стоматолог-хирург:
    Бобер Александр Александрович
  • Стоматолог-ортопед:
    Березнев Антон Васильевич
Протезирование зубов Эстетическая стоматология
Керамические виниры во фронтальной зоне и коронки в боковой
  • Врач:
    Архипов Андрей Евгеньевич
  • Выполненные работы:
    были установлены керамические виниры во фронтальной зоне и коронки — в боковой.
Протезирование зубов Эстетическая стоматология
20 керамических реставраций винирами
  • Выполненные работы:
    Пациентке установлены 20 единиц керамических реставраций.
Протезирование зубов Эстетическая стоматология
20 керамических виниров
  • Стоматолог-ортопед:
    Кулакова Екатерина Андреевна
  • Выполненные работы:
    Пациентке установлено 20 керамических виниров.
Протезирование зубов Эстетическая стоматология
Керамические виниры на верхней челюсти
  • Выполненные работы:
    «До» были композитные реставрации. «После» - керамические реставрации на верхней челюсти.
Имплантация зубов Протезирование зубов Эстетическая стоматология
Керамические виниры и импланты
  • Стоматолог-ортопед:
    Кулакова Екатерина Андреевна
  • Выполненные работы:
    Отсутствующие зубы восстановлены имплантами. Прикус скорректирован с помощью керамических накладок на жевательные зубы. А эстетику работе придали керамические виниры.
Протезирование зубов Эстетическая стоматология
20 виниров Emax
  • Выполненные работы:
    Пациентке установлено 20 виниров Emax с минимальным препарированием в пределах эмали, с использованием цифрового моделирования.
Лечение зубов
Лечение среднего кариеса
  • Стоматолог-терапевт:
    Науменко Юлия Александровна
  • Выполненные работы:
    Убраны все пораженные ткани, выполнена реставрация и фотополимерного материала, восстановлена первоначальная анатомия зуба.
Лечение зубов
Кариес на контакте зубов
  • На что обратить внимание:
    На первом фото, где ситуация "до" кариес практически не заметен. А по факту оказался немаленьким. Кариес на контакте развивается быстро, но при этом диагностируется немного сложнее, ведь на начальных стадиях он не беспокоит пациента.
Лечение зубов
Лечение пришеечного кариеса
Лечение зубов
Кариес на контакте зубов
Лечение зубов
Лечение среднего кариеса
  • Стоматолог-терапевт:
    Науменко Юлия Александровна
  • Результат:
    Обратите внимание, насколько точно восстановлена анатомия зуба.
Лечение зубов
Замена пломбы из амальгамы
  • Стоматолог-терапевт:
    Какора Валерия Алексеевна
  • Выполненные работы:
    Замена пломбы из амальгамы - процесс не простой. В данном случае под пломбой развился кариес.
Лечение зубов
Средний кариес на двух зубах
  • Стоматолог-терапевт:
    Науменко Юлия Александровна
  • Результат:
    Средний кариес на двух зубах вылечен за 1 прием
Лечение зубов
Лечение периодонтита
  • Стоматолог-терапевт:
    Лощинская Яна Владимировна
  • Выполненные работы:
    За мгновение до... записи к хирургу на удаление. В этот кейс мало, кто верил, но все реально. Главное, профессионализм стоматолога и настрой пациента.
Лечение зубов
Лечение периодонтита
  • Стоматолог-терапевт:
    Науменко Юлия Александровна
  • Результат:
    Здесь мы видим результат за полгода. Лечение проведено в 3 этапа. И через полгода мы видим отличную положительную динамику восстановления тканей за верхушкой корня.
Лечение зубов
Лечение пульпита
  • Стоматолог-терапевт:
    Науменко Юлия Александровна
  • Результат:
    Воспаление ушло, зуб больше не беспокоит, инфекции здесь нет.
Эстетическая стоматология
Реставрация зуба с помощью силиконового ключа
  • Стоматолог-терапевт:
    Лощинская Яна Владимировна
  • Выполненные работы:
    Можно было поставить просто пломбу. А можно выполнить точную реставрацию, как это сделала Яна Владимировна. В данном случае реставрация выполнена с помощью силиконового ключа. Это позволяет восстановить исходную анатомию зуба. Главный плюс в комфорте и долговечности такой реставрации.
Лечение зубов
Лечение под микроскопом
  • Стоматолог-терапевт:
    Лощинская Яна Владимировна
  • Выполненные работы:
    В первом премоляре обнаружено 3 канала. Такое встречается примерно в 1% всех случаев. Зуб был ранее лечен "по учебнику", ведь в норме здесь 1-2 канала. Зуб пролечен под микроскопом с применением кофферадама. Перелечивание заняло около 1 месяца.
Лечение зубов
Лечение периодонтита
  • Стоматолог-терапевт:
    Науменко Юлия Александровна
  • До:
    Периодонтит, 3 перфорации и свищевой ход, отсутствует костная ткань на передней стенке.
  • Выполненные работы:
    Было проведено лечение в 3 этапа, закрыли перфорации и через полгода на снимке "после" мы видим, восстановление кости, воспаление отсутствует. А значит, зуб спасен.
Лечение зубов
Лечение периодонтита
  • Стоматолог-терапевт:
    Лощинская Яна Владимировна
  • Выполненные работы:
    Наглядный пример, насколько важно выполнить все рекомендации ортодонта по диагностике и подготовке к установке брекетов. В данном случае во время ортодонтического лечения на КТ обнаружен периодонтит. И через полгода на контрольном снимке мы видим положительную динамику.
Лечение зубов
Лечение кариеса на контакте зубов
  • Выполненные работы:
    Убраны пораженные ткани зуба, восстановлена форма зуба и и контактная поверхность.
Лечение зубов
Лечение инфекции за пределами зуба
  • Стоматолог-терапевт:
    Какора Валерия Алексеевна
  • Выполненные работы:
    Пациент обратился к Валерии Алексеевне с жалобой на периодические ноющие боли в области зуба, особенно при надавливании. Зуб ранее лечен, депульпирован. В ходе диагностики выяснилось, что канал запломбирован неплотно. А это повод распространиться инфекции за пределы зуба. Сравните как запломбирован зуб "до" и "после". Плотно забломбированный канал, который не будет источником инфекции, не будет беспокоить пациента.
Имплантация зубов Протезирование зубов
Имплант Renova и протезирование циркониевой коронкой
  • Стоматолог-имплантолог:
    Идрисов Данис Ахатович
  • Стоматолог-ортопед:
    Архипов Андрей Евгеньевич
  • Выполненные работы:
    Пациенту установлен имплант Renova и затем выполнено протезирование циркониевой коронкой. Перед имплантацией была проведена профгигиена без фторирования.
  • Стоимость работ:
    41 500 ₽
Протезирование зубов Эстетическая стоматология
20 керамических виниров
  • Выполненные работы:
    Пациенту установлено 20 керамических виниров. Естественная, красивая и уверенная улыбка открывает перед собой любые двери.
Протезирование зубов
Безметалловые коронки и протезы
  • Ситуация до лечения:
    Отсутствовали зубы в жевательном отделе. Неэстетичные реставрации во фронтальном отделе, стачиваемость эмали, неровный десневой контур.
  • Выполненные работы:
    Были установлены безметалловые коронки и протезы.
Имплантация зубов Протезирование зубов
Протезирование на имплантах (промежуточный результат)
  • Стоматолог-ортопед:
    Кулакова Екатерина Андреевна
Протезирование зубов
Полный съемный протез
  • Стоматолог-ортопед:
    Кулакова Екатерина Андреевна
  • Выполненные работы:
    Установлен полный съемный протез на верхней челюсти
Протезирование зубов Эстетическая стоматология
Восстановление разрушенных зубов циркониевыми коронками
  • Стоматолог-ортопед:
    Мустафин Руслан Ринадович
  • Выполненные работы:
    Здесь проделана достаточно большая работа, восстановили разрушенные зубы, навели красоту с помощью циркониевых коронок.
Протезирование зубов
Безметалловая керамика на передний зуб
  • Стоматолог-ортопед:
    Мустафин Руслан Ринадович
  • Выполненные работы:
    Всегда рекомендуется депульпированные зубы покрывать коронками. В этом случае была установлена безметалловая керамика. Зуб в безопасности и гармонично смотрится в ряду.
Имплантация зубов Протезирование зубов
Решение проблемы щелкающего сустава
  • Стоматолог-имплантолог:
    Бобер Александр Александрович
  • Стоматолог-ортопед:
    Архипов Андрей Евгеньевич
  • Выполненные работы:
    Импланты в жевательный отдел. Ортопед смоделировал улыбку циркониевыми коронками так, чтобы нагрузка была распределена равномерно, что было причиной щелчков сустава.
Брекеты
Исправление прикуса и восстановление места под имплантацию 6-го зуба
  • Выполненные работы:
    Было восстановлено пространство под имплант и исправлен прикус. На финальном этапе за 4-6 месяцев до снятия был установлен имплант. И уже на этапе снятия - формирователь, а затем и коронка.
  • Брекет-система:
    Experience
Брекеты
Металлические брекеты Biomim для пациента 30 лет (15 месяцев)
  • Выполненные работы:
    Результат лечения за 1 год и 3 месяца металлической брекет-системой Biomim. Пациенту 30 лет.
Брекеты
Металлические брекеты Marquis (3 месяца)
  • Выполненные работы:
    Результат лечения за первые 3 месяца металлической брекет-системой Marquis
Брекеты
Металлические брекеты Marquis (2-3 месяца)
  • Стоматолог-ортодонт:
    Малофеев Александр Сергеевич
  • Выполненные работы:
    Результат лечения за первые 2-3 месяца металлической брекет-системой Marquis
Брекеты
Металлические брекеты Marquis (18 месяцев)
  • Стоматолог-ортодонт:
    Даньярова Диана Саматовна
  • Выполненные работы:
    Результат лечения за первые 18 месяцев металлической брекет-системой Marquis
Брекеты
Металлические брекеты Marquis (2 месяца)
  • Стоматолог-ортодонт:
    Любимова Екатерина Рустамовна
  • Выполненные работы:
    Результат лечения за первые 2 месяца металлической брекет-системой Marquis
Брекеты
Лигатурные металлические брекеты (3 месяца)
  • Выполненные работы:
    Результат лечения за первые 3 месяца металлической брекет-системой Marquis
Брекеты
Лигатурные металлические брекеты (6 месяцев)
  • Выполненные работы:
    Результат лечения за первые 6 месяцев металлической брекет-системой
Брекеты
Керамические и металлические брекеты (3 месяца)
  • Выполненные работы:
    Установлена комбинированная система из керамических брекетов на верхней челюсти и металлических на нижней. Результат лечения за первые 3 месяца
Брекеты
Лигатурные брекеты Marquis (6 месяцев)
  • Стоматолог-ортодонт:
    Любимова Екатерина Рустамовна
  • Выполненные работы:
    Результат ортодонтического лечения на системе Marquis за первые 6 месяцев.
Брекеты
Лигатурные брекеты Marquis (5 месяцев)
  • Стоматолог-ортодонт:
    Малофеев Александр Сергеевич
  • Выполненные работы:
    Результат ортодонтического лечения на системе Marquis за первые 7 месяцев.
Брекеты
Лигатурные брекеты Marquis (7 месяцев)
  • Стоматолог-ортодонт:
    Любимова Екатерина Рустамовна
  • Выполненные работы:
    Результат ортодонтического лечения на системе Marquis за первые 7 месяцев.
Брекеты
Безлигатурные брекеты Experience (4 месяца)
  • Стоматолог-ортодонт:
    Любимова Екатерина Рустамовна
  • Выполненные работы:
    Здесь прошло всего 4 месяца с момента установки безлигатурной системы Experience. Дуга уже заменена на более жесткую, что говорит о прекрасном прогрессе в лечении.
Имплантация зубов Протезирование зубов
Имплантация и протезирование жевательных зубов
  • Выполненные работы:
    Установлено 3 импланта Osstem, после приживления - 3 металлокерамические коронки.
Имплантация зубов Протезирование зубов
Имплантация и протезирование на верхней челюсти
Имплантация зубов Протезирование зубов
Имплант OSSTEM и коронка на основе диоксида циркония
  • Стоматолог-имплантолог:
    Ткачев Андрей Андреевич
  • Стоматолог-ортопед:
    Кулакова Екатерина Андреевна
  • Стоимость:
    Имплант Osstem — 17500 ₽
Имплантация зубов Протезирование зубов
Имплантация и протезирование резца
  • Стоматолог-ортопед:
    Кулакова Екатерина Андреевна
Имплантация зубов Протезирование зубов
Имплантация с немедленной нагрузкой
  • Стоматолог-имплантолог:
    Бобер Александр Александрович
  • Стоматолог-ортопед:
    Архипов Андрей Евгеньевич
  • Выполненные работы:
    Пациенту установлены импланты Renova и металлокерамический протез. Зубной ряд восстановлен в кратчайшие сроки, благодаря процедуре имплантации с немедленной нагрузкой. По времени данная работа заняла около недели.
Имплантация зубов Протезирование зубов
Имплантация и протезирование жевательного зуба
  • Стоматолог-имплантолог:
    Идрисов Данис Ахатович
  • Стоматолог-ортопед:
    Кулакова Екатерина Андреевна
  • Выполненные работы:
    Установлен имплант с применением навигационного шаблона. Коронка на основе диоксида циркония
Имплантация зубов Протезирование зубов
Имплантация и протезирование по системе Все-на-6
  • Стоматолог-имплантолог:
    Идрисов Данис Ахатович
  • Стоматолог-ортопед:
    Архипов Андрей Евгеньевич
  • Выполненные работы:
    Верхняя челюсть: металлокерамический протез с опорой на 6 имплантов. Импланты Renova установлены с применением хирургического шаблона. Нижняя челюсть: металлокерамические коронки и нейлоновый протез.
  • Стоимость работ:
    Около 240 000 ₽
Имплантация зубов Протезирование зубов
Имплантация и протезирование по системе Все-на-6
  • Стоматолог-имплантолог:
    Идрисов Данис Ахатович
  • Стоматолог-ортопед:
    Архипов Андрей Евгеньевич
  • Выполненные работы:
    Установлены 6 имплантов и 28 циркониевых коронок по системе Все-на-6
  • Стоимость работы:
    Имплант — 18500 ₽, циркониевая коронка на имплант — 17500 ₽
Протезирование зубов
Бюгельное протезирование
  • Врач:
    Архипов Андрей Евгеньевич
Протезирование зубов
Коронки на жевательные зубы
  • Врач:
    Архипов Андрей Евгеньевич
Имплантация зубов Протезирование зубов
Имплантация и протезирование по системе Все-на-4
  • Врач:
    Архипов Андрей Евгеньевич
Эстетическая стоматология
Реставрация передних зубов винирами
  • Врач:
    Архипов Андрей Евгеньевич
Имплантация зубов Протезирование зубов
Коронка на импланте
  • Врач:
    Архипов Андрей Евгеньевич
Имплантация зубов Протезирование зубов
Импланты OSSTEM, безметалловые коронки и виниры
  • Врач:
    Архипов Андрей Евгеньевич
  • Выполненные работы:
    Импланты OSSTEM, безметалловые коронки и виниры
Протезирование зубов Эстетическая стоматология
20 керамических реставраций: виниры и коронки
  • Врач:
    Архипов Андрей Евгеньевич
  • Выполненные работы:
    Пациентке установлено 20 керамических реставраций (виниры и коронки)
Запись на прием
Заполните форму и мы свяжемся с вами в ближайшее рабочее время
В какую клинику удобнее?

Отправляя форму, вы даете согласие на обработку и использование персональных данных